Τενοντοπάθεια Αχιλλείου

Τενοντοπάθεια Αχιλλείου

Η τενοντοπάθεια του αχιλλείου είναι ένας συχνός τραυματισμός υπέρχρησης που προκαλείται από επαναλαμβανόμενη αποθήκευση ενέργειας. Ο αχίλλειος τένοντας είναι ένας από τους πιο συχνά τραυματιζόμενους τένοντες στο ανθρώπινο σώμα παρά τη δύναμη του και μάλιστα όχι μόνο τραυματίζεται πιο συχνά αλλά είναι εκείνος που υπόκειται σε αυτό που ονομάζεται υπέρχρηση. Η υπέρχρηση είναι εξ ορισμού μια επαναλαμβανόμενη καταπόνηση που ενεργεί στον τένοντα, έτσι ώστε αυτός να μην μπορεί να αντέξει πια τάση και ένταση.

Εικόνα 1 : Απεικόνιση της τενοντοπάθειας του αχιλλείου. Διαθέσιμη στον διαδικτυακό ιστότοπο(https://www.google.gr/search?q=%CF%84%CE%B5%CE%BD%CE%BF%CE%BD%CF%84%CE%BF%CF%80%CE%B1%CE%B8%CE%B5%CE%B9%CE%B1+%CE%B1%CF%87%CE%B9%CE%BB%CE%BB%CE%B5%CE%B9%CE%BF%CF%85+%CF%84%CE%B5%CE%BD%CE%BF%CE%BD%CF%84%CE%B1&source=lnms&tbm=isch&sa=X&ved=0ahUKEwiS0LmbyfbeAhXFfFAKHUo6BpEQ_AUIDigB&biw=1252&bih=582#imgrc=_), (26/11/2018)

Οι ασθενείς (αθλητές και μη) με τενοντοπάθεια αχιλλείου συνήθως αναφέρουν πόνο στον τένοντα κατά τη διάρκεια της αρχικής φόρτωσης, επιδοκιμάζοντας τη συνεχιζόμενη δραστηριότητα. Καθώς η κατάσταση καθίσταται χρόνια, ο πόνος μπορεί να είναι επίμονος, με αποτέλεσμα την περικοπή της δραστηριότητας ή την παύση της. Η τενοντοπάθεια αχιλλείου ως κλινικό σύνδρομο χαρακτηρίζεται από τρία στοιχεία πόνο, οίδημα και λειτουργική βλάβη, που αντιστοιχούν στο ιστολογικό πρότυπο της τενόντωσης, όρος που δηλώνει μια μη φλεγμονώδη εκφυλιστική διαδικασία με μια δομή αποδιοργανωμένου κολλαγόνου.

Κλινική παρουσιάση

-Μια καινούργια μέθοδος προσεγγίζει τον πόνο στον τένοντα με τρία στάδια : την αντιδραστική τενοντοπάθεια(1ο στάδιο χωρίς φλεγμονή , λόγω υπέρφόρτωσης) ,τη δυσλειτουργία στον τένοντα και τρίτον την εκφυλιστική τενοντοπάθεια.

-Η αιματική παροχή σε όλο το μήκος του τένοντα είναι φτωχή γεγονός που πιθανόν να ευθύνεται για την αργή διαδικασία επούλωσης του τραύματος.

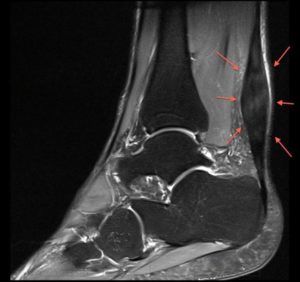
-Η τενοντοπάθεια του αχιλλείου μπορεί να υπάρχει στην ένθεση ή στο μέσο του τμήμα. Περισσότερο συχνά εντοπίζεται στο μέσο του τένοντα, 2-6 εκατοστά από την πτέρνα, που είναι και το σημείο με την φτωχότερη αιμάτωση (55-65% των περιπτώσεων) και λιγότερο συχνά στο κάτω άκρο του τένοντα στο σημείο που συνδέεται με την πτέρνα (20-25% των περιπτώσεων).

Εικόνα 2 : Τενοντοπάθεια αχιλλείου στο μέσαιο τμήμα του . Διαθέσιμη στον διαδικτυακό ιστότοπο(https://www.google.gr/search?q=%CF%84%CE%B5%CE%BD%CE%BF%CE%BD%CF%84%CE%BF%CF%80%CE%B1%CE%B8%CE%B5%CE%B9%CE%B1+%CE%B1%CF%87%CE%B9%CE%BB%CE%BB%CE%B5%CE%B9%CE%BF%CF%85+%CF%84%CE%B5%CE%BD%CE%BF%CE%BD%CF%84%CE%B1&source=lnms&tbm=isch&sa=X&ved=0ahUKEwiS0LmbyfbeAhXFfFAKHUo6BpEQ_AUIDigB&biw=1252&bih=582#imgrc=_) , (26/11/2018)

-Επιπλέον ο αυξημένος πρηνισμός του άκρου ποδος έχει προταθεί ότι σχετίζεται με την πάθηση.

-Ο πρωινός πόνος είναι ένα χαρακτηριστικό σύμπτωμα γιατί ο αχίλλειος τένοντας πρέπει να αντέξει πλήρες εύρος της κίνησης συμπεριλαμβανομένου και διάταση αμέσως μετά την έγερση από το κρεβάτι.

-Τα συμπτώματα εντοπίζονται στον τένοντα και την γύρω περιοχή .

-Ο τένοντας στην προσβεβλημένη πλευρά έχει μεγαλύτερη διάμετρο , περισσότερη δυσκαμψία , και λιγότερη ικανότητα διάτασης σε σύγκριση με την υγιή πλευρά.

Εξέταση

-Οι απεικονιστικές εξετάσεις δεν είναι απαραίτητο ότι θα διαγνώσουν την τενοντίτιδα αλλά πιθανόν είναι χρήσιμες για διαφορική διάγνωση.

-Παρατήρηση της μυικης ατροφίας , του οιδήματος, της ασυμμετρίας , της εξίδρωσης της άρθρωσης , και της ερυθρότητας .

-Hop and heel-raise endurance tests

-Έλεγχος του εύρους κίνησης της ραχιαίας κάμψης , της υπαστραγαλικής άρθρωσης , της δύναμης και αντοχής της πελματιαίας κάμψης ,ύψος ποδικής καμάρας , ευθυγράμμιση προσθίου άκρου ποδός και πόνος στην ψηλάφηση.

Φυσικοθεραπευτική αντιμετώπιση

Είναι καλό να εκπαιδεύσετε τους ασθενείς σας στην τροποποίηση της δραστηριότητας συμβουλεύοντας τους κατάλληλα. Για ασθενείς με μη οξεία τενοντοπάθεια , οι κλινικοί πρέπει να τους συμβουλεύουν ότι η πλήρης ξεκούραση δεν ενδείκνυται και ότι πρέπει να συνεχίσουν έχοντας κριτήριο το δικό τους όριο πόνου. Συγκριμένα πρέπει να τους κάνουν λόγο για τη μηχανική φόρτιση , τους παράγοντες κινδύνου , το BMI , το κατάλληλο υπόδημα , και έναν τυπικό χρόνο ανάπαυσης έπειτα από εμφάνιση συμπτωμάτων.

-Βελτιστοποίηση της εμβιομηχανικής

Τα άτομα με τενοντοπάθεια αχιλλείου πρέπει να κάνουν εμβιομηχανική αξιολόγηση και ο φυσικοθεραπευτής να σκεφτεί τη χρήση ορθωτικών ανάλογα τη φάση της τενοντοπάθειας (οξεία ή χρόνια).

-Ελεγχόμενη φόρτιση στον τένοντα

Λιγότερες δραστηριότητες επιβάρυνσης αλλά όχι ακινητοποίηση γιατί υπάρχει κίνδυνος ατροφίας.

-Προπόνηση δύναμης

Έχει φανεί ότι μειώνει τον τενόντιο πόνο και μάλιστα οι πλειομετρικές ασκήσεις έχουν εξαιρετικά ωφέλιμες επιδράσεις στην τενοντοπάθεια του αχιλλείου και έχουν γίνει η κύρια μη χειρουργική επιλογή θεραπείας.

  • manual θεραπεία
  • shock wave therapy
  • ιοντοφόρεση
  • taping
  • νάρθηκες νυκτός
  • ξηρή βελόνα
  • κορτικοστεροειδή (βραχυπρόθεσμα αποτελέσματα)
  • prp (έρευνες έδειξαν ότι οι ενέσεις plateletrich plasma κατά τη διάρκεια 3 μηνών σε ανθώπους με χρόνια τενοντοπάθεια δεν έχουν καμία θετική επίδραση σε σχέση με το placebo therapy.Το μόνο θετικό των ενέσεων prp σε σχέση με το placebo ηταν η αλλαγή στο πάχος του τένοντα.)

Εικόνα 2: Shockwave therapy

Εικόνα 3: Tecar therapy

Εικόνα 4: Διατατικές ασκήσεις

Εικόνα 5: Πλειομετρική ενδυνάμωση

Εικόνα 6: Εξατομικευμένοι ορθωτικοί πάτοι